Dra. Juliana Centeno
Home
Sobre
O Consultório
Especialidades
Endodontia
Clínica Geral
Próteses
Implantodontia
Clareamento
Estética
Casos Clínicos
Contato
Agende
×
Home
Sobre
Contato
Home
/
Casos Clínicos
Casos Clínicos
Resultados reais dos nossos tratamentos
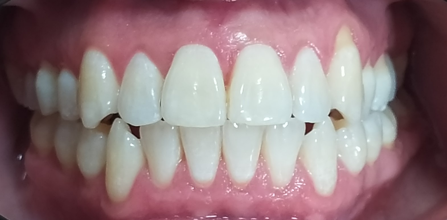
Antes
Depois
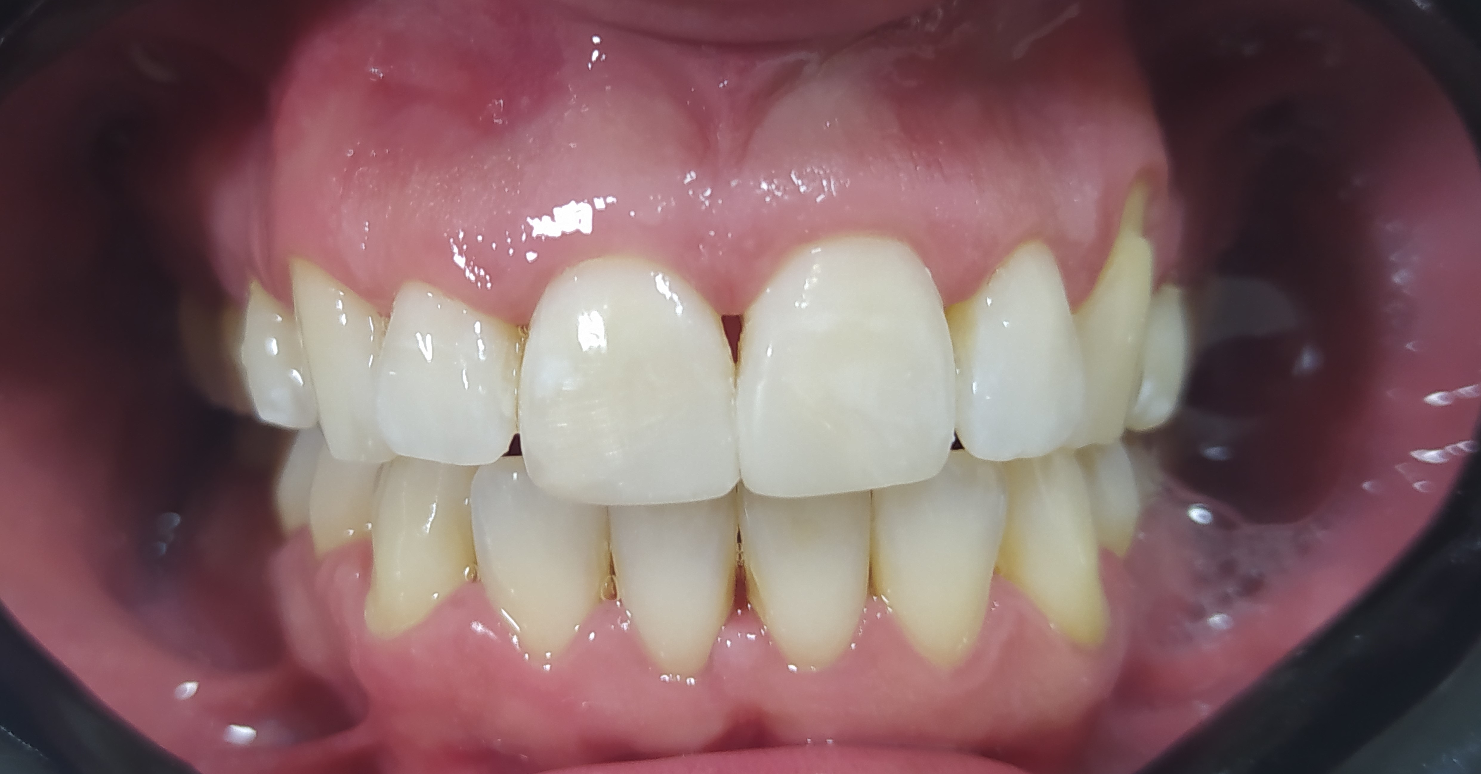
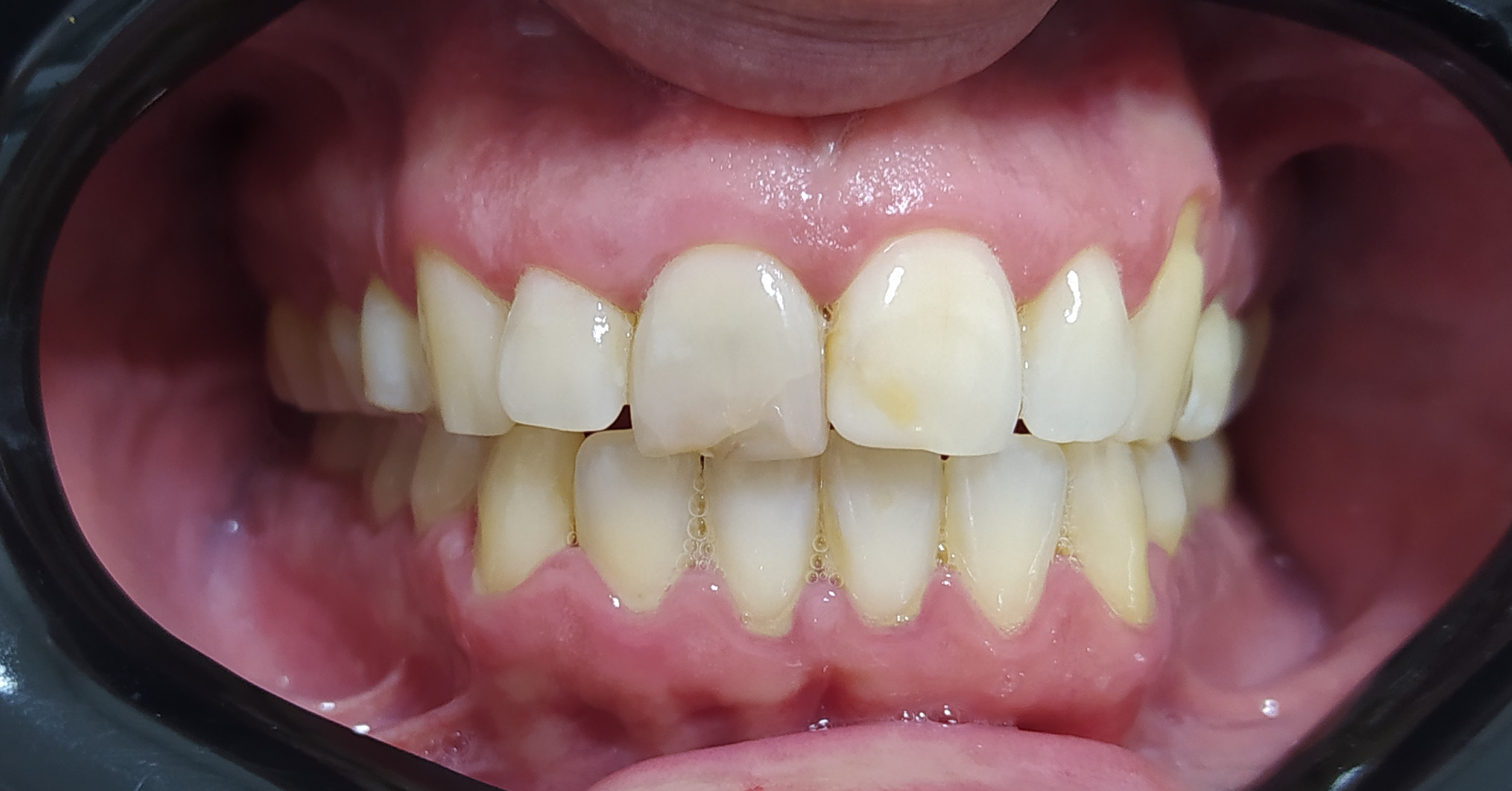
Restauração com resina composta
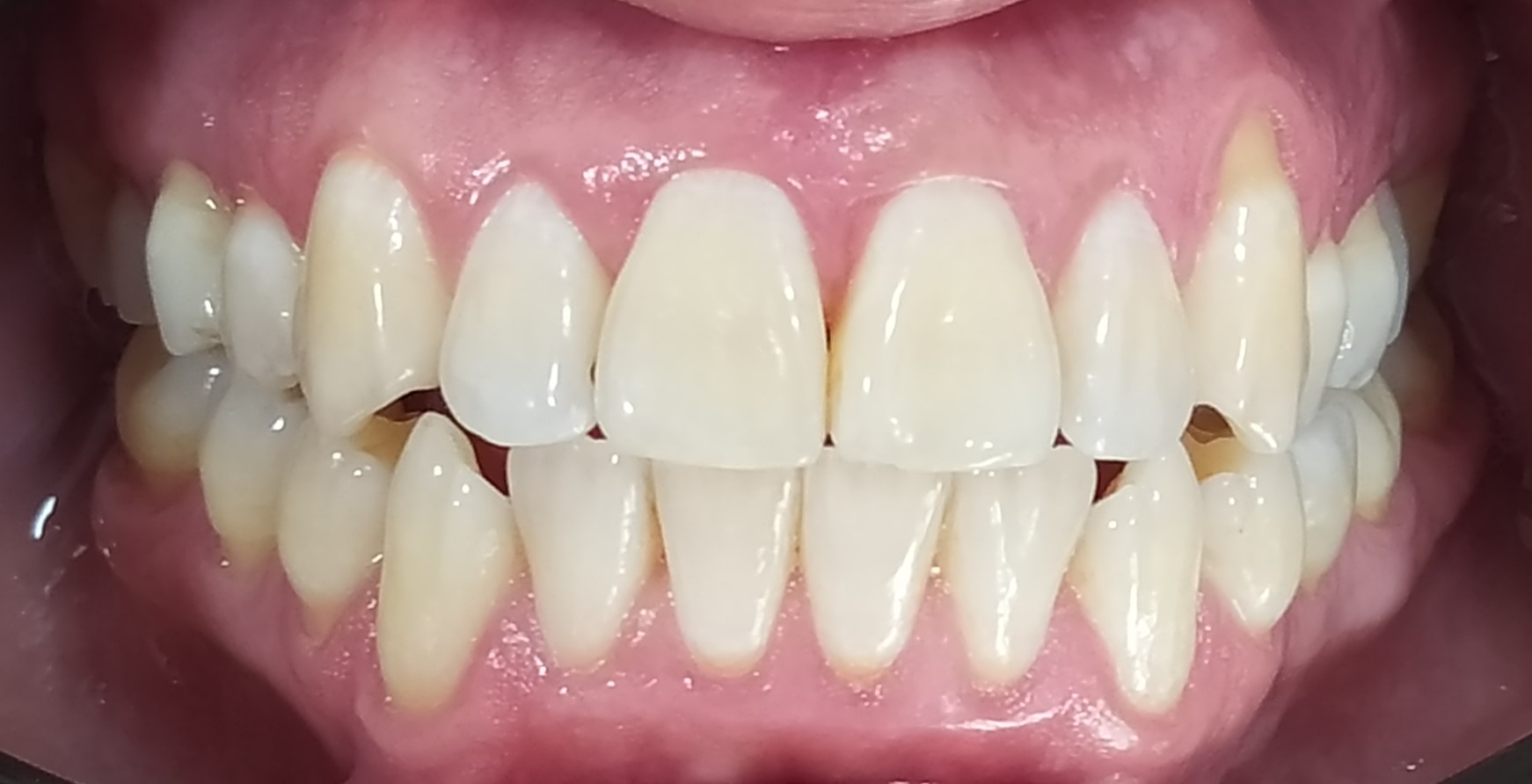
Antes
Depois
Restauração com resina composta
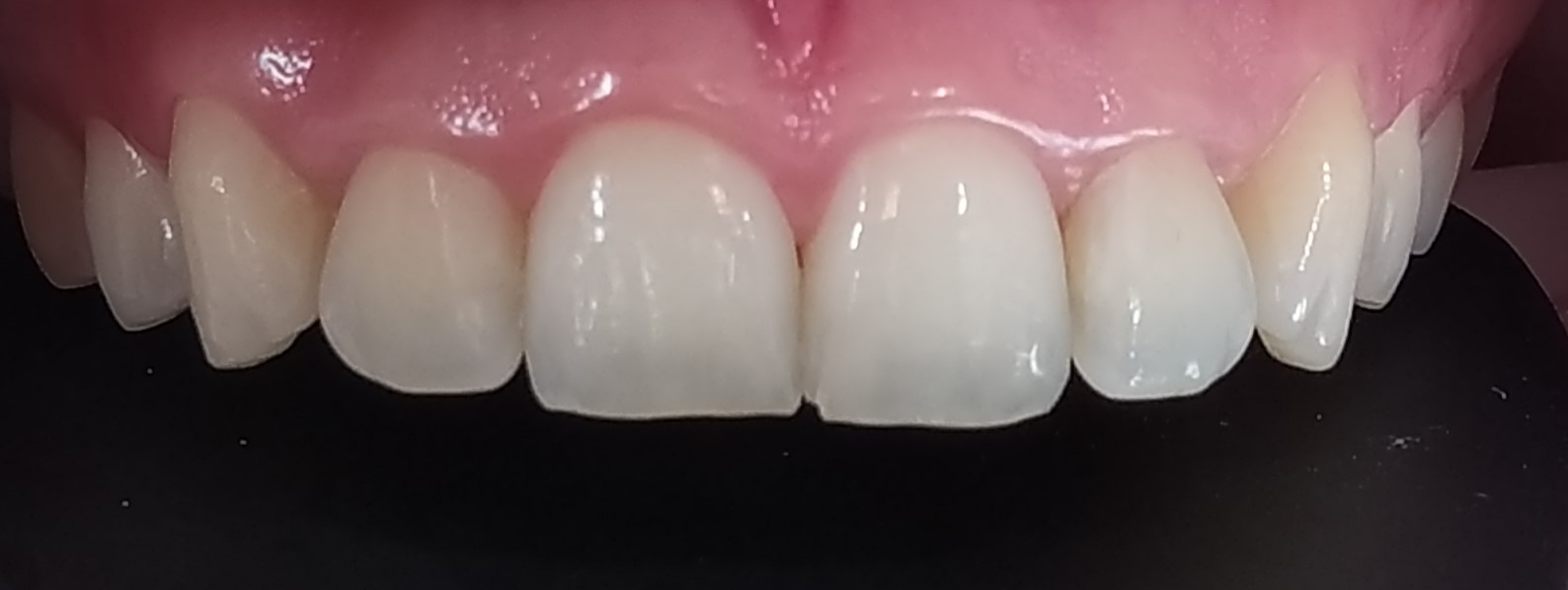
Antes
Depois
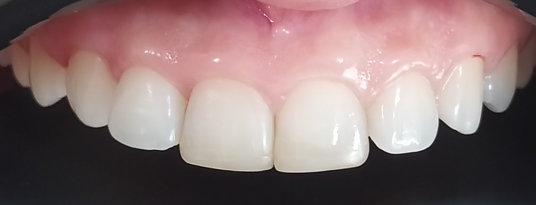
Faceta Cerâmica
Antes
Depois
Implante e coroa cerâmica
Antes
Depois
Restauração com resina composta
Antes
Depois
Clareamento
Antes
Depois
Reabilitação completa
Antes
Depois
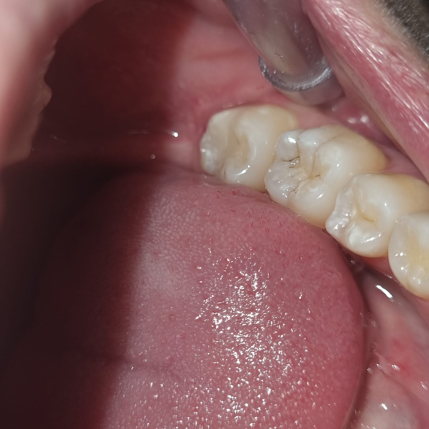
Remoção de cárie
Antes
Depois
Restauração com resina composta
Quer resultados como estes?
Agende sua avaliação e transforme seu sorriso.
Agendar Consulta